去医院体检,CT报告上那些不用过于担心的诊断结果
昨天接到一个患者的电话,大致是他说前两天去体检机构做检查,诊断意见1他知道,因为做过手术,后面的有些就看不懂了。他很担心,让我给他看看是不是得做手术啊还是吃吃药,给他们消灭掉,看着闹心。

这让我突然想到,其实,很多我们影像科出的报告结果是不用太过紧张的。比如脑萎缩,小囊肿,基本上天天都会遇到很多。然后我就和同事们聊了聊这件事,让大家发表一下意见,我总结了一下,把排名最靠前的和大家嘚吧嘚吧。
CT影像结果最不用紧张的前五名(排名不分先后):
脑萎缩
之所以排在第一位,是因为一般60岁以上人群做CT检查后经常会出现这种征象。大部分情况下它是一种生理性改变,和人老了头发会变白,会有皱纹是一个道理)


60岁体检女性。可以看到与正常人比,脑沟增宽了
肺微小结节(这里指<5mm结节)
肺小结节近年来越来越受到临床医生重视,因为很多小结节其实是早期肺癌。
但是,随着科技的提高,CT扫描已经能够发现1mm左右的结节,再加上这两年人工智能的应用,使得肺小结节在CT报告上的出现率“泛滥成灾”。再加上很多人宁可错杀一千,不可放过一个的心态,导致紧张情绪蔓延。甚至连我周围的同事都出现过这种情况,问医生A,说不能确定良恶性,医生B说可以观察,医生C说先不用管,自己家人说要不切了吧,省的闹心!!
其实,在最新的国际肺小结节指南上已经把事情说得很清楚了,总结下来就是,对于5mm左右的小结节,随访就可以了(不同长相的小结节具体方法不同,但最严重的3个月后再次复查薄层CT就可以了,这里不包括1cm左右的混合磨玻璃结节或者其他有明显恶性征象的结节)。总得来说,是个事儿,需要上心,但离癌症还有不小的距离。

右肺中叶微小结节。需要半年复查
各种单发钙化灶(如肺内钙化灶)。钙化分为生理性和病理性钙化,通俗地讲,人体的某些部分就喜欢钙盐沉积,如颅内的松果体,这就是生理性的。
病理性的钙化,多种多样,可以是坏死的组织,如结核病,也可以是钙鳞代谢障碍的疾病等。比如肺内 钙化灶,其实就是可能过去得过肺炎或肺结核后钙盐沉积在坏死组织里的结果,完全不用管。

脑,松果体钙化(箭头所指,白色,结节状)。病例同时存在脑白质脱髓鞘,脑萎缩,腔梗。
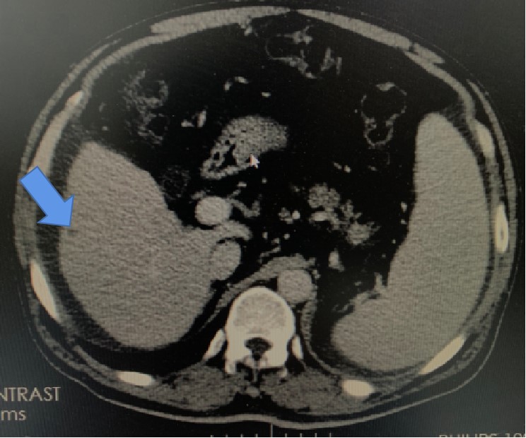
各种小囊肿。
说实话,我老爸5年前体检就发现了肾上有个2cm囊肿,于是想起来就要叨叨两句,我身上有个大囊肿可咋办,愁!总共解释了七八次吧,现在不说了
囊肿可以是组织坏死的结局,渗出物的包裹,遗传,肿瘤等,这些原因说来话长。作为普通非专业人士,各位朋友只要知道,大部分的小囊肿是不需要处理的就行了。如果太大(一般指大于5cm)可能会产生占位效应,压迫周围组织、器官,这种另当别论。

肝右叶小囊肿(箭头所指,小灶状,偏黑色部分)。
小淋巴结(可能的表述形式为还有稍大淋巴结,增大淋巴结)。一般在胸部、腹部CT检查时,这种表述最为常见。
淋巴结可见于正常人,一般小于1.0cm(有的说1.5cm)是没有意义的。但是如果淋巴结明显增大,是有问题的,多见于炎症和肿瘤转移,或者淋巴结自身肿瘤,比如淋巴瘤,这些疾病临床及影像都有特征性改变,可以鉴别。各位小伙伴在遇到这种影像诊断时不必惊慌,更不要认为自己是不是哪里有癌症没有发现,以至于都转移到淋巴结了,这种事非常多见,等于是自己吓唬自己。

纵隔6mm小淋巴结,边缘光整
最后,我想说,人体是复杂的,多变的。任何疾病都不能说得太绝对。比如,钙化可以是一些寄生虫病的表现,囊肿可能与囊性癌很像,小淋巴结那万一是早期淋巴结转移呢?这种事情谁也说不准。所以,去正规的医院,向有经验的医生咨询,才是最正确的选择。只不过,太过于担心,自己吓唬自己,真的就没有必要了。
(来源:医学影像嘚吧嘚/三甲医院放射影像科影像诊断医师)