关于PET-CT,不懂的,我都告诉您!

PET-CT为何物?
PET全称为正电子发射计算机断层显像(positron emission tomography PET),它是利用正电子核素标记葡萄糖等人体代谢物作为显像剂,通过病灶对显像剂的摄取来反映其代谢变化,从而为临床提供疾病的生物代谢信息。
CT全称为电子计算机x射线断层扫描技术(Computed Tomography),它是利用X射线对人体进行体层检查。
PET-CT是将两者合二为一的一项影像诊断设备,做一次PET-CT显像,不仅能得到反应组织、器官的血流,功能及代谢信息的PET图像,还能看到反应组织、器官解剖结构的CT图像,并将PET功能图像和CT图像同机融合在一起显示,是医疗设备中的1+1>2!
PET利用示踪剂(如氟18,碳11等),采用静脉注射等方式注入人体后,通过探测这些示踪剂/探针在体内的聚集,来反映生命代谢活动的情况,从而达到诊断的目的。以最常见的肿瘤显像为例,恶性肿瘤细胞对FDG(葡萄糖)摄取能力大大超过了正常细胞,FDG标记放射性核素后注入人体,会出现放射性核素在肿瘤等病变组织中的浓聚,从而在设备工作站的图像上会显示出一个放射性浓集的区域,结合SUV等定量信息,再结合CT传统的解剖影像提高病灶定位的准确性,帮助医生进行诊断和疗效评估等。

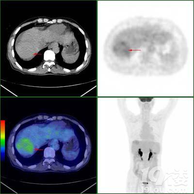
PET/CT显像提示肝癌
PET/CT能干嘛?
PET/CT在肿瘤方面的应用占其临床应用的90%以上,最常用的显像剂为18F标记的FDG(18F-FDG 氟化脱氧葡萄糖)。主要适应症如下:
(1) 协助诊断
对肿瘤高危人群,早期发现或排除肿瘤;
对肿瘤标志物高或副肿瘤综合征患者,寻
找肿瘤病灶所在;
对已发现可疑病变者,鉴别良、恶性;
对可疑肿瘤患者,指导选择活检部位;
对已发现肿瘤转移者,寻找原发灶。
(2) 指导治疗
对恶性肿瘤患者,进行更准确分期,全面
了解全身病变情况;
肿瘤恶性程度分级和预后判断;
指导放疗计划靶区的设定
(3) 疗效评估和复发监测
肿瘤治疗效果的评估;
肿瘤残存病灶与坏死、纤维化组织的鉴
别;
肿瘤治疗后标志物仍高或重新升高,寻
找残存、复发或转移病灶;
肿瘤复发的监测。

检查前的准备事项
在做PET/CT前不要做创伤性的检测,如内镜检查,如果体内有创伤,做PET/CT过程中的这个部位放射性会比较高,难以获得准确的检测结果。
患者需在空腹状态下进行PET/CT检查,吃完食物血糖会比较高,会跟我们注射进的葡萄糖进行竞争,导致肿瘤吸收过多非放射性的糖,因此糖尿病患者在进行PET/CT检查之前,要把血糖要控制好。另外虽然我们建议排空肠道,但并不建议对患者进行灌肠,灌肠会对肠道产生一定刺激,在检查中产生均匀的放射性增高。
患者在检查前一天不能剧烈运动,肌肉、韧带在强烈运动的情况下会代谢活跃,因此在PET/CT检查前,我们也要求每位患者静静休息,用最放松、平静的状态去接受检查。
PET-CT检查的流程
预约检查时间--办理检查手续---医生问诊---检测血糖---注射示踪剂---等待示踪剂的吸收---躺在仪器上检查---出报告单。
PET-CT检查的副作用
PET跟CT是放在一起,PET注射的18F,现在我们用的最多的是18F,当然还有其他的核素替代18F的。这个18F的剂量相等于同样一次CT扫描的射线剂量。一个人做了一次PET-CT等于做了两次CT扫描而已。这两次的CT扫描可能也就是20Gy,一年一个人做10次扫描都是安全的。
但毕竟PET/CT检查有一定辐射剂量,使用时要也权衡利弊,诸多核医学专家反对将其视为纯粹的健康体检工具,应严格掌握PET/CT检查的适应症,采用正当化、最优化原则使用PET/CT检查。
作者:中国科学院大学附属肿瘤医院 施伟军
浙江省肿瘤医院 2019-12-10