「辟谣」肺部磨玻璃结节就是肺癌?磨玻璃结节癌变三部曲了解一下
【辟谣】
最近几年随着肺部ct在体检当中的应用,越来越多的人发现了肺部小结节。很多人担心肺部小结节发生癌变。确实肺癌是全世界发病率和死亡率排名第一的癌症。今年来肺癌的发病率越来越高,并且在未来30 ~ 50年之内还将继续增高,每年以27%的速度在增长。这是一个非常可怕的数字。今天我们来就来讲一讲肺部磨玻璃结节,会不会是肺癌。
肺部磨玻璃结节的特点是,东亚人群最常见,非吸烟人群,女性最多见,低龄化特点。
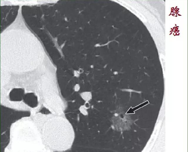
陈女士今年40岁。一年半之前她体检发现了肺部的磨玻璃病变。 当时医生告诉他消炎之后复查。他消过炎之后,自己觉得也没有什么不舒服,觉得到医院去排队,太麻烦,又要去花钱所以就没有来医院。

今年她又来体检。 发现原来肺部的病变还在那里。 并且明显的增大,密度增高。于是就建议他去做手术,手术之后切下来是一个浸润性肺癌。万幸的是手术后分期仍然是早期,没有转移,手术之后也就不用再吃一个药片儿,随访不复发就算是治愈了吧。

肺部磨玻璃结节分为三类
肺部磨玻璃结节,根据存在的时间的长短,可以分成三类。
1.一过性磨玻璃结节
一过性磨玻璃结节就是指一开始肺部ct发现有磨玻璃结节,但是经过消炎吃药之后,磨玻璃结节消失了。相信很多朋友都有这种经历。这种磨玻璃结节,称之为一过性磨玻璃结节,都是细菌感染引起的。通过治疗之后都是可以完全治愈的。

2.持续性良性磨玻璃结节
持续存在的良性磨玻璃的结节。基本都是局部肺组织纤维化,他形成的原因还是与急性的炎症期没有正规的消炎导致进入到慢性期形成纤维化,从而不能够完全吸收。占持续存在的磨玻璃结节百分之30~40。

3.持续性恶性磨玻璃结节
最后剩下的一种就是恶性的磨玻璃结节,也是持续存在。占所有磨玻璃结节的百分之60~70。
磨玻璃结节癌变三部曲
癌前病变,微浸润腺癌,浸润性腺癌。
1.癌前病变,包括不典型腺瘤样增生和原位癌。
看大小,如果磨玻璃结节,小于5个毫米。97%的概率是腺瘤样增生。是一种良性的增生。以后发展成癌症的概率低。40岁以前可以不予随访观察,40岁以后每年做一次低剂量,肺部ct,体检即可。
如果超过了5毫米。出现空泡征,血管聚集现象,有可能是原位癌。原位癌可以考虑手术切除,但是不需要清扫淋巴结。
手术切除治愈率100%。
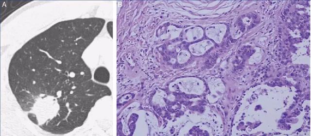
2.微浸润腺癌
10~15mm。如果在原位癌的阶段没有注意戒烟健康的生活方式。原来就会继续增长扩大,此时叫微浸润癌。此时癌症已经长大超过10个毫米。内部可以没有实性成分,是纯磨玻璃结节,也可以出现5个毫米以内的实性成分。此时癌细胞还没有侵犯到胸膜,血管,淋巴管,仍然是早期肺癌。
手术切除治愈率100%。
3.浸润性腺癌
大于15毫米。此时癌细胞继续增多增大,结节出现了明显的实性成分,并且突破了支气管的基底膜长到了血管和淋巴管里面去。
手术切除治愈率不确定,根据分期不同。
手术之后常规随访,两年之内每半年一次,两年之后每年一次。
总结,早期肺癌没有任何的症状,建议常规体检,体检中发现了磨玻璃结节。常规消炎,消炎之后如果消失则罢,如果不消失,再根据磨玻璃结节的大小和实性成分来判断。可以考虑继续观察或者手术治疗。 磨玻璃结节从癌前病变发展到浸润性腺癌往往需要3~4年的时间。在这漫长的时间里给我们,即使手术的机会还是非常多的,所以不需要紧张。一旦有长大,手术随时可以做,而达到治愈的效果。
李瑛医生 #清风计划##健康真探社#

