高烧不退,肺部“完全实变”!今年多发,特殊人群注意
高热不退、剧烈咳嗽,甚至呼吸困难?小心肺炎支原体感染!

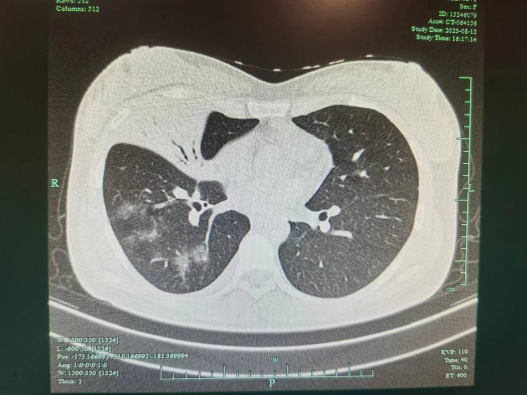
以为是小感冒,CT结果吓一跳
剧烈的咳嗽也让她辗转难眠,根本没办法休息好,虚弱的她开始忐忑不安,这样只会对宝宝不利。在家人的陪伴下,她赶紧来到临平区妇幼保健院内科就诊。


流行季节请注意防护
程劲松介绍,肺炎支原体感染每隔3~7年会有一次地区性流行高峰,今年以来发病数量较往年增多。
1
什么是肺炎支原体感染?
肺炎支原体感染会导致肺炎支原体肺炎,以间质性肺炎为主,有时会并发支气管炎。潜伏期大概是2-3周。
2
如何预防肺炎支原体感染?
-
室内要通风,尽量避免到人群聚集、通风不良的公共场所; -
注意个人卫生,特殊人群尽量减少外出,回家后做好手卫生; -
平时要饮食均衡,注意锻炼,增强体质。
来源“健康杭州”
2023年9月13日 19:29
ꄘ浏览量:0