面对心脏疾病这个“隐形杀手”,干细胞疗法将为老去的心脏带来新生!
从世界顶级医学期刊《柳叶刀》发布的全球疾病负担分析报告来看,高血压、吸烟、高盐饮食和户外空气污染是导致中国人心血管疾病高发的罪魁祸首。

传统方法干预 ——心脏疾病效果欠佳

▲健康心脏与左心发育不良综合症
干细胞是类具有多向分化及组织再生能力的“原始细胞”,在一定条件中,它能分化成我们身体里的任一一种细胞,包括心肌细胞,血管内皮细胞等,凭借这个特性,它就能对病患的心血管进行“灾后重建”。

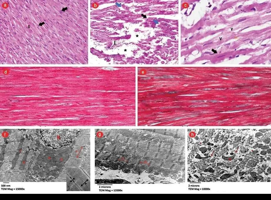
研究人员经过28天的诱导追踪发现,与对照组小鼠相比,间充质干细胞治疗组修复了心电图ST段、QT和QRS间期恢复所显示的心脏功能,且小鼠心肌梗死面积明显减少,组织病理学检查甚至可见心肌组织的再生征象。

国际医学期刊《柳叶刀》曾报道了世界第一例接受干细胞治疗心脏病的临床案例。患者迈克尔·琼斯在治疗前后展现了惊人反差,曾经的他只能走几步路,但经过干细胞治疗之后,他可以自如的跑步,打篮球。

而这样的改善并非个例,同期参与研究的14名患者也在接受治疗后展现了良好的疗效,他们平均射血分数从30.3%提高到了38.5%,一年后,他们的心脏疤痕组织也下降了30%。

来自维也纳奥地利科学院的科研团队,使用干细胞成功培养出全球首个体外自组织心脏类器官模型,模型可自发形成空腔,自主跳动,无需支架支持。更令人惊喜的是,这种心脏类器官在受伤后可以自主动员心脏成纤维细胞迁移修复。

2023年9月27日 10:38
ꄘ浏览量:0