连续坐车4小时,险猝死......长期久坐,当心“沉默的杀手”找上门!尤其这些人→
一次长途车程
一场通宵游戏
又或是宅家躺一天
……
这是许多人在休息日时的常态
殊不知,这种长时间的久坐
可能悄然带来一种凶险——
深静脉血栓
更为严重的是,这种血栓一旦脱落
还可能随着血液回流至心肺
从而引发致命的“肺栓塞”
连续坐车4小时……
一下车就倒地不起
国庆假期,65岁的汪阿姨一早带着刚收的农货,坐了4个小时的车前往临平,想瞧瞧可爱的孙子孙女。
谁知刚下车没几步路,一下晕倒了,重重摔在地上,叫也叫不醒,120急救中心紧急把汪阿姨送到临平区第一人民医院。
“当时肺动脉主干栓塞,同时还有下肢的静脉血栓,血压很低,已经发生了休克,非常危急!”呼吸内科副主任医师钟永红说,“这是因为长时间坐车,下肢不活动、血液瘀滞,下肢血管出现了血栓,下车活动后血栓脱落,随着血液循环到达了肺动脉,并发生了堵塞,因此出现休克、晕厥。”
所幸经院内VTE抢救团队快速反应、积极抢救后,汪大妈转危为安,顺利出院。

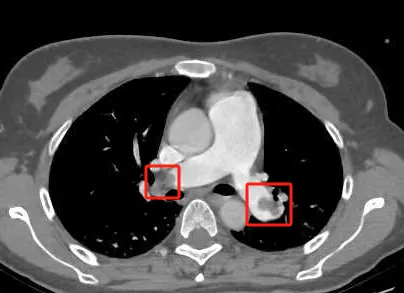
影像显示血管栓塞
静脉血栓栓塞症是仅次于心肌梗死和脑卒中的第三大最常见的心血管疾病。发病隐匿,临床表现不典型,一旦发生,致死、致残率高,素有“沉默的杀手”之称。

(网络图片)
如果要长时间坐车
如何预防这种情况发生呢?
长时间坐车时,由于身体长时间保持同一姿势,尤其是久坐,会减慢血液流动速度,增加血液在静脉中凝结的风险,从而可能导致血栓的形成。为了预防这种情况,可以采取以下措施:
1
定时活动身体
● 定时起身走动:每隔一段时间(如1小时)起身走动,或在座位周围做一些简单的伸展运动,如踢腿、下蹲等,以促进血液循环。
● 座位上的小幅度活动:如果条件不允许频繁起身,可在座位上做小幅度活动,如脚尖、脚趾及膝盖运动,及坐位或站立位的提踵运动,帮助下肢的淋巴和血液回流。
2
保持充足的水分摄入
● 补充水分:建议每小时补充200毫升水,以降低血液的黏稠度,防止血栓形成。但避免饮酒或大量饮用含咖啡因的饮料,以免加重脱水状况。
3
穿着舒适
● 穿着宽松衣物:避免对身体的过度压迫,有助于血液循环。
● 穿弹力袜:又称“抗血栓袜”,能提供适当压力,帮助血液流动,降低静脉血栓的形成概率。对于孕妇、长期服用避孕药的女性、肥胖人群、下肢静脉曲张患者、老年人等高风险人群,穿弹力袜可以达到更好的预防效果。
4
药物预防
● 抗凝药物:对于某些高风险人群,如已有静脉血栓病史或正在接受癌症治疗的人,建议使用抗凝药物来预防静脉血栓。在使用药物前,务必咨询医生,严格遵医嘱使用。
5
其他注意事项
● 定期体检:平日做好常规体检,通过简单的血液化验和影像学检查,及时发现或预防血栓形成的风险。
哪些人容易出现
静脉血栓栓塞呢?
● 缺乏活动。如果长期卧床、久坐,由于血流速度非常缓慢,甚至因为部分外压因素而静脉回流受阻,导致血流的瘀滞,可能会出现静脉血栓栓塞高风险的情况。建议患者平时多锻炼身体,可降低静脉血栓栓塞的风险。
● 肿瘤。如果本身有肿瘤,也会造成静脉血栓栓塞高风险,因为肿瘤本身就是高凝状态,患有肿瘤的患者要根据情况来进行抗凝治疗。
● 易栓症。如果本身有易栓症,也会容易发生静脉血栓栓塞高风险,通常需要通过相关的血液指标检查、基因检测等手段去发现易栓症并对症治疗。
●手术。术后患者需要长时间卧床休息,血液淤积、血流缓慢,容易形成静脉血栓栓塞高风险。尤其是大手术、骨科手术、心脏手术等高危因素更明显。此外,手术后止痛药的应用也会增加患者血栓的形成风险。
● 长期服用避孕药物、抗抑郁药。也有可能诱发静脉血栓栓塞。
钟永红提醒,静脉血栓栓塞症(VTE)是“沉默的杀手”,大多数患者无典型临床症状表现,若出现呼吸困难、咳嗽、胸痛,或是下肢出现疼痛、皮肤温度升高、肿胀,请前往医院进行确诊。
此外,静脉血栓的治疗方法主要包括药物治疗、手术治疗两种方式,需结合血管超声、血管造影等相关检查明确病情后,制定合适的治疗方案。
-
供稿:临平区第一人民医院
来源:“健康杭州”